Orthodontie & Posturologie
Une nouvelle offre de Soins Dentaires !
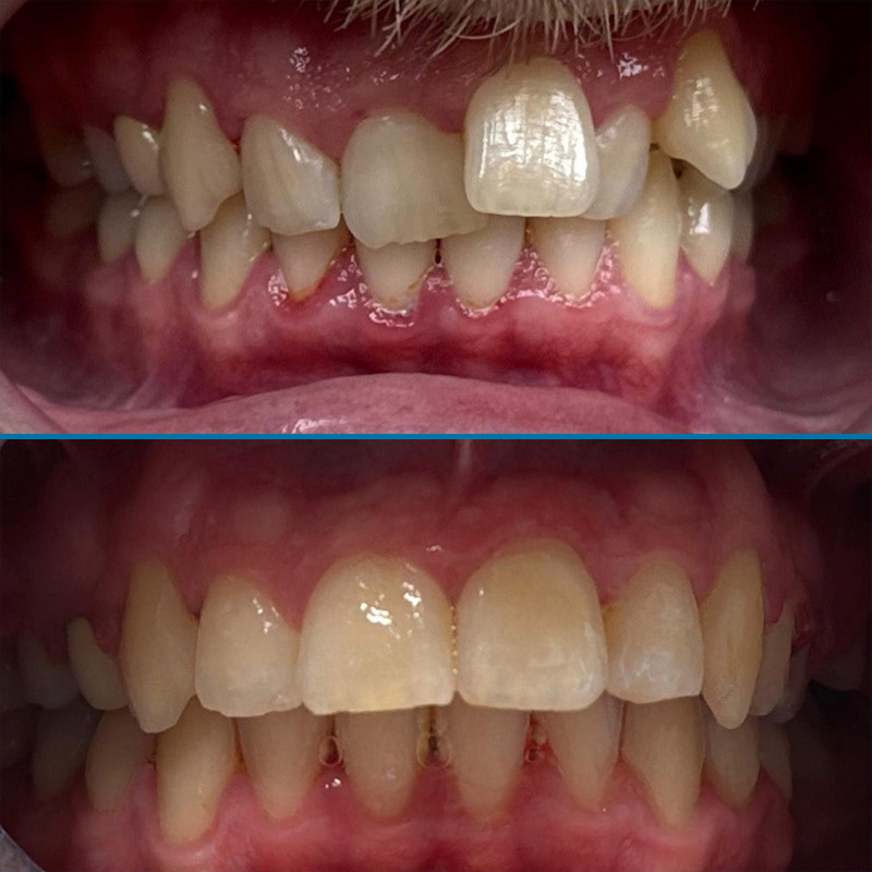
Vos dents ou celles de votre enfant sont mal positionnées, cela entraîne des bourrages alimentaires, des caries, une occlusion insatisfaisante et très probablement un problème de posture.
Un meilleur alignement de vos dents intra-arcade et inter-arcade permettra une évacuation naturelle quasi-automatique du bol alimentaire, d’améliorer votre posture, de vous sentir « droit dans vos bottes ».
Une esthétique améliorée vous redonnera confiance en vous !
L’Association loi 1901, sans but lucratif, GREEN DENTISTERIE vous propose de vous guider dans ce cheminement, cette matière encore peu connue dans notre pays a fait ses preuves dans de nombreux pays à l’étranger, méthode naturelle, « logique » peu invasive, elle donne d’excellents résultats.
Pour tous renseignements, contacter nous sur contact@green-dentisterie.com
Notre équipe, composée uniquement de chirurgiens-dentistes et de stomatologues, reviendra vers vous dans les plus brefs délais, nous vous remercions de votre confiance.

CAS 2

CAS 3

CAS 4

CAS 5

CAS 6

CAS 7

CAS 8

CAS 9

CAS 10

CAS 11


